
Událost se, jak u pádů bývá zvykem, odehrála nečekaně a rychle.
Při průjezdu pravotočivou zatáčkou náhlá změna adheze způsobená nájezdem na vlhký povrch vozovky uvedla přední kolo do smyku. Ve snaze vyrovnat kolo Ctibor přetočil úplně řidítka a tak, byť upadnul na PRAVÝ bok, si zranil LEVÝ palec. Rukavice ho zachránily před povrchovým zraněním, ale pro nás ostatní zákeřně schovaly poškození vnitřní. Ctibor sice s námi ještě kousek cesty pokračoval, ale pak se, celkem pochopitelně, vrátil, aby se nechal ošetřit.
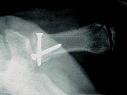
Jen si přečtěte, jak lapidárně se umí vyjadřovat hrdinové o svých ranách:
"Posilam muj prvni prispevek do sekce trauma. Suma sumarum: 2,5 hodky operace v plne narkoze, 2 sroubky v ruce, 5 stehu, 6x rentgen, 3 lahve kapacky a 3 sacky antibiotika do zily, 4 dni v nemocnici, 5 tydnu sadra... :-(
Diky vsem za sms prani. Ctibor"
Pro silné povahy přidávám detailní obrázky zranění:
|
|
|
|
|
Jarouš, 10.2.2005
epilog - kdo pozná rozdíl? :-)
|
|